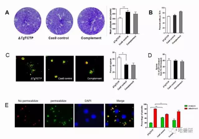
近日,中国农业科学院哈尔滨兽医研究所基础免疫团队郑君博士在国际上首次证明了弓形虫翻译控制肿瘤蛋白是弓形虫快速生长及维持细胞内发育所必需的蛋白,相关研究成果于10月18日在《美国实验生物学杂志(FASEB Journal)》上在线发表。相关链接:http://www.fasebj.org/content/early/2017/10/18/fj.201700994R.abstract ![]() 弓形虫病是一种人兽共患寄生虫病,呈全球性分布。有学者估计,世界上有三分之一的人群感染弓形虫。常人在感染弓形虫后一般成隐性感染状态,偶尔也会出现轻微的疲惫、头疼、发热、多汗、腹泻、肌肉或者关节疼痛等,但是当人的免疫机能下降或者出现免疫缺陷疾病(例如:HIV感染等)时,弓形虫感染可能会引起感染者死亡。另外,弓形虫感染会引起孕妇流产,也能够垂直传播给孕期中的胎儿,从而引起流产、早产。婴幼儿在感染弓形虫后,则会出现脑水肿,视觉神经障碍等。 据了解,翻译控制肿瘤蛋白(translationally controlled tumor protein, TCTP)被认为是一类生长相关的蛋白。近年来的研究展现了TCTP非常广泛的生物学功能。比如转录因子、抗细胞凋亡以及诱导肿瘤的回复等。科研人员经过系统研究,发现弓形虫强毒株TCTP的转录水平及表达量都要高于弱毒株。弓形虫TCTP的敲除明显抑制了虫体在宿主细胞内的生长和复制,而且促使未发育成熟的虫体提前逸出,从而降低了弓形虫的再感染效率。对TCTP缺失虫株表达谱的研究表明,TCTP的敲除致使虫体内近千个基因的表达水平发生了变化。 弓形虫是一种专性的胞内寄生性原虫,它几乎可以感染所有的有核细胞,因此弓形虫胞内的生长和复制在其复杂生活史中显得尤为重要。对生长复制相关基因的研究有助于了解弓形虫的生长机制,从而能够研究出更加有效的防治方法。本研究阐明了弓形虫TCTP在调控虫体生长复制过程中的重要作用,这将为弓形虫的生长机制研究及药物靶点的鉴定提供新的理论依据。(郑君) (责任编辑:admin) |





